medical mistakes
Friday, September 23, 2011
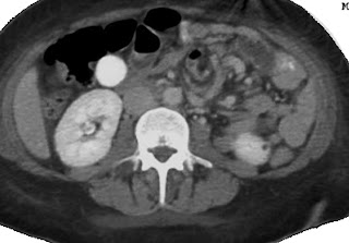
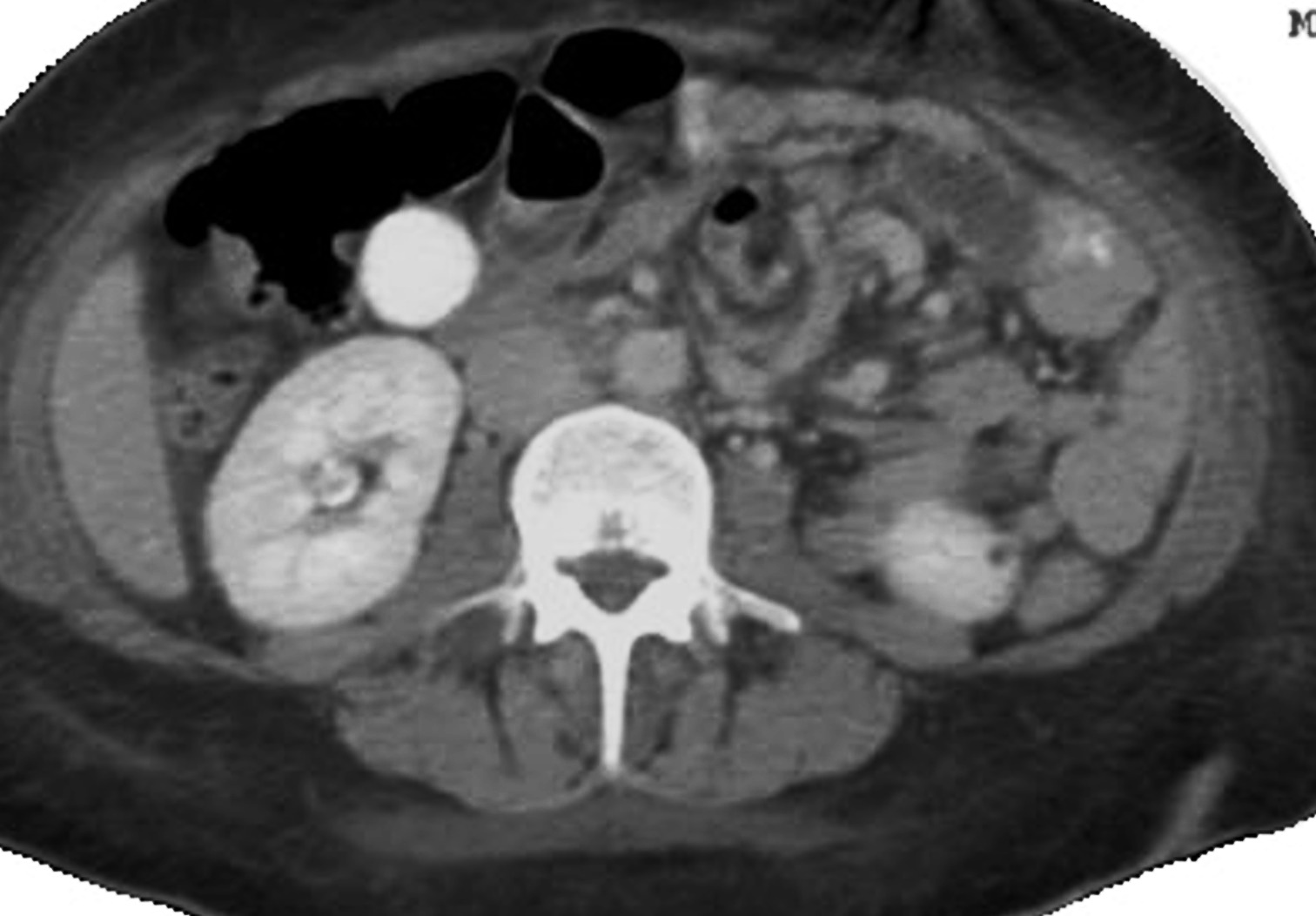
More on the CT whirl sign of volvulus
Attached are some more views of the whirl as well as autopsy photos of the twisted intestine-mesintary. This whirl appears to be a particularly tight one. A fact confirmed by the autopsy photos. The patient survived a day and three quarters post CT.
No comments:
Post a Comment
Older Post
Home
Subscribe to:
Post Comments (Atom)
No comments:
Post a Comment